
We offer two types of office whitening that will provide you with a professional and glamorous smile:In Office Whitening/Take home whitening Kit

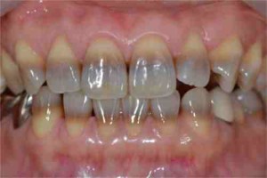
Tetracycline stain?
Please contact us for our special in office bleaching system used on these complex staining cases.
